Nation
-
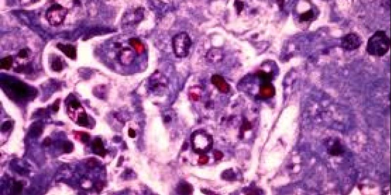
केरल के बाद अब इन राज्यों में मंडरा रहा ‘निपाह’ वायरस, का संकट
निपाह वायरस को लेकर राजस्थान में बुधवार को अलर्ट जारी कर दिया गया है।
-
तूतीकोरिन में हिंसा बरकरार, इंटरनेट सेवाएं बंद, भारी संख्या में पुलिस बल तैनात
डीएमके ने किया 25 मई को राज्यव्यापी बंद का ऐलान।
-
कुमारस्वामी के शपथ ग्रहण समारोह में भड़कीं ममता बनर्जी
कुमारस्वामी ने 24वें मुख्यमंत्री के तौर पर बुधवार को शपथ ली।
-
तमिलनाडु सरकार ने तुतीकोरिन में 5 दिनों तक इंटरनेट सेवा की बंद, शहर में लगी धारा 144
प्रदर्शन में मारे गए लोगों को लेकर डीएमके ने राज्यभर में 25 मई को बंद का ऐलान किया है।
-
एचडी कुमारस्वामी ने कर्नाटक के सीएम पद की शपथ ली
कांग्रेस के परमेश्वर ने उपमुख्यमंत्री पद की शपथ ली।
-
राष्ट्रपति राम नाथ कोविन्द का हिमाचल दौरा, किसानों को जैविक खेती अपनाने पर दिया बल
राष्ट्रपति राम नाथ कोविन्द ने दीक्षांत समारोह में स्वर्ण पदकों के अलावा 462 विद्यार्थियों को डिग्रियां दी।
-
तूतीकोरिन : स्टरलाइट तांबा खनन उद्योग को बंद करने की मांग पर अड़े प्रदर्शनकारियों पर पुलिस ने किया लाठी चार्च व गोलीबारी से 11 की मौत
मुख्यमंत्री पलानीस्वामी ने मृतकों के परिजनों को दस-दस लाख रुपये का मुआवजा देने की घोषणा की।
-
GST लगने पर 30 रुपए सस्ता हो सकता है पेट्रोल
पेट्रोलियम प्रोडक्ट्स को जीएसटी के दायरे में लाने की मांग जोर पकड़ने लगी है।
-
गंगा सफाई को लेकर नितिन गडकरी ने दिया ये बयान
रुपये के लेन-देन का कोई आडिट नहीं हुआ है लेकिन कामकाज का आडिट तो होना ही चाहिए - नितिन गडकरी
-
बुकिंग के 24 घंटे के अंदर फ्लाइट टिकट कैंसिल कराने पर नहीं देना होगा कोई चार्ज, सरकार ला रही है नई पॉलिसी
यात्रा समय से 96 घंटे पहले तक टिकट कैंसल करने पर भी कोई चार्ज नहीं देना होगा।
-
एसबीआई को हुआ तीन महीने में 7718 करोड़ रुपये का घाटा, ये है घाटे की वजह…..
भारत के बैंकिंग इतिहास में ये दूसरा सबसे बड़ा घाटा है।
-
कर्नाटक शपथ ग्रहण समारोह : एचडी कुमारस्वामी आज लेंगे CM पद की शपथ
इस समाहरोह को अगले साल होने वाले लोकसभा चुनाव के लिहाज से भी देखा जा रहा है।
